大分県別府市で保険診療・自由診療の診察で肌のお悩みを治療します。

土曜日 9時〜13時(受付12時30分まで)
※日・木・祝および土の午後は休診
初診の方も、インターネットで診察予約をとることができます。
基本的に予約の方が優先となりますので、予約をお取り頂いてからのご来院ををお勧め致します。

自費の施術はお電話又はインスタグラムのメッセージ、LINEよりお願いします。
なお、月・火・水・金曜日の14:00~15:30は「手術優先時間帯」となっています。
ご予約外の患者様は15:30以降の予約を取ってご来院下さい。


アトピー性皮膚炎は、かゆみと身体の左右対称に湿疹が見られて良くなったり悪くなったりを繰り返すのが特徴です。乳児や幼児期にかかることが一般ですが、近年は大人になってから再発や発症で悩まされている方が増えています。
気管支喘息や結膜炎アレルギー性鼻炎などを抱えていることも多く、年齢によって症状が異なります。
・乳児
生後2ヶ月頃から顔や頭に赤いジュクジュクした湿疹が見られ、その後に身体にも広がっていきます。食物に関係していることが考えられ1歳頃までに自然に症状が治まることが多いです。
・幼児、小児
首や肘、手足の関節の内側、耳たぶなどにカサカサと乾燥した湿疹が出ます。
・思春期や成人
全身や顔、首が乾燥してカサカサとします。顔は炎症を起こし赤くなったり首や肘、手足の関節の内側の部分は皮膚が厚くなってゴツゴツします。赤くかゆい湿疹ためにかきむしって悪化することもあります。
※かゆみが強くかきむしってしまうとアトピー性白内障やアトピー性網膜剥離の合併症を起こすことがあるので注意が必要です。

皮膚に突然、現れて激しいかゆみを伴い数時間で跡形もなく消えてなくなるのが特徴です。ミミズ腫れのように1本の線状となったり虫刺されのように赤くモコモコと盛り上がることや、全身どこにでもどんどんと増えて身体全身に広がることもあります。消えたかと思うと数時間経過して別の場所に現れたりしますが24時間以内に治まることが一般的です。
じんましんがでてから1ヶ月以内に症状が治まる場合を急性じんましん、1ヶ月以上続いて長引くの場合を慢性じんましんといいます。その他にも食べ物や薬物、特定の刺激で症状が現れることも多いです。
強いかゆみを感じるのが特徴ですが、焼けるような熱さや痛みを感じるなど症状には個人差があります。
診察時にはじんましんが消えていることが多く、お話をうかがい問診で診断は可能ですが、スマートフォンやタブレットで撮影された場合はお持ちいただければ参考とさせていただきます。

皮膚に赤い発疹ができ、ニキビのように盛り上がり大きくなっていきます。その後、銀白色の厚い皮膚となってフケのようにポロポロとはがれ落ちます。全身どこにでもできること可能性がありますが、比較的摩擦を受ける頭部や肘や膝、背中に多く見られます。大きさや数も人によって異なり、入浴や飲酒で身体が温まることでかゆみが発生しやすいです。男性に多く爪に異常が出てしまったり関節炎を伴うこともあります。
良くなったり悪くなったりを繰り返しながら長期間に及ぶことが一般的ですが、改善した後は食事や生活習慣を見直すことで再発を防ぐことが可能です。
※細菌やウイルスによるものではないため他の人に感染する皮膚疾患ではありません。

白癬は皮膚糸状菌というカビによって生じる感染症で一般的には水虫と呼ばれています。代表的なものは足にできる足白癬で5人に1人、爪に感染したものは爪白癬といわれ10人に1人の割合で持っているとされています。
足白癬には3つのタイプがあり、足の裏に小さい水疱(水ぶくれ)ができて水泡が破れると皮がむける小水疱型、足の指の間のにできやすく白くふやけたりカサカサする趾間型があります。梅雨の時期から増えて、夏の蒸し暑い時期に最も症状がでやすくなるのが特徴です。
角質増殖型は表面がザラつき足の裏全体の皮膚が硬くなり、ひび割れやアカギレのようになる乾燥する冬に痛みが出ることがあります。
また足白癬を放置しておくと皮膚から爪の中へと菌が入り込んで爪白癬になりやすいく爪の色が白く濁ったり分厚くなったりします。かゆみはなく分厚くなった爪が靴に当たり痛みが出ることがあります。

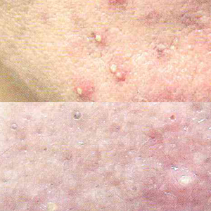
尋常性ざ瘡は一般的にはニキビと呼ばれています。皮脂(皮膚のあぶら)が毛穴にたまった状態で常在菌のアクネ菌(にきび菌)が増殖し炎症を起こします。
はじめに小さな白い点のように盛り上がり白ニキビができます。次に毛穴の内部に皮脂がたまると、毛穴の表面が開き黒ニキビとなります。さらにアクネ菌が増えることで炎症を起こし赤く盛り上がり赤ニキビや膿がたまりブツブツになるのが黄ニキビです。悪化すると盛り上がったり、へんんだ状態の痕が残ることがあります。
炎症が強いとかゆみや痛みを伴います。以前は思春期の数年間に症状が現れ青春のシンボルとされていましたが、最近は20歳を過ぎてもできる大人ニキビに悩まされている方も多いです。

尋常性疣贅(じんじょうせいゆうぜい)は、一般的にはイボと呼ばれています。手足や顔、頭にできることが多くヒトパピローマウイルスというウイルスに感染することで起こります。
免疫力の弱い子供は大人よりも発症しやすいですが、大人でも免疫力が低下しているときは注意が必要です。
皮膚の表面が盛り上がってきて水疱(水ぶくれ)のように見えますが、皮膚が分厚くなったもので灰白色になります。
傷のある皮膚からウイルスは侵入するので手指、足の裏、膝、顔面にできることが多く、良性の皮膚感染症で痛みもかゆみもありません。手にできたイボを触ったりいじったりすることでウイルスが手につき、そのまま顔や足を触ってしまうとさらに感染して数が増えていきます。触らないように気をつけましょう。

帯状疱疹は、はじめにピリピリとした痛みや虫刺されのようなかゆみを身体の左右どちらかに感じます。神経の走行に沿って片側だけに赤い発疹や水疱(水ぶくれ)が帯のように現れるのが特徴で、胸から背中や顔、頭、首ににかけて症状がでることが多いです。
透明だった水泡は黄色い膿が混じる水泡に変わり、その後1週間ほどすると水泡が破れます。その後皮膚がただれるようになりますが、自然にかさぶたになって治まります。
治るまでの期間は個人差があるので異なりますが、発疹がでてからだいたい3週間~1か月ほどです。その後に帯状疱疹神経痛だけが残ってしまう場合があるので、予防のために発疹がでたら早めに病院で受診し抗ウイルス薬を飲むことが大切です。
※帯状疱疹は水疱瘡(みずぼうそう)のウィルスなので水疱瘡にかかったことのない子供や妊婦との接触は避けましょう。

ほくろは生まれつきや成長過程で増えていきます。大きさが直径5mm以下のものが多く、通常左右が同じで色調は均一ではっきりしているのが特徴です。
どんどん数が増えることもあり皮膚がんを心配される方もいます。ほくろは良性腫瘍ですが、ほくろと似ているため注意が必要な病気もあります。
・老人性角化腫
老人性いぼとも呼ばれ皮膚の良性腫瘍です。そのままにしておいても何の問題はありませんが、気になる場合には簡単に取り除くことができます。
・悪性黒色腫(メラノーマ)
通常のほくろよりもサイズが大きい、急に大きくなった、傷ができたり出血して治らない、色合いがまだらなどの場合は悪性黒色腫という皮膚がんの可能性もあります。
・基底細胞癌
加齢に伴い増える皮膚がんの一種ですが、手術や治療により取り除くことが可能です。
外観が似ているので気になる場合は自己判断せず専門医を受診しましょう。

粉瘤とは皮膚の内側に袋ができて皮膚の脂と角質である垢が袋の中にたまってしまい大きくなっていくのが特徴です。袋の中から出られないので初めは米粒大ですが、時間の経過とともにどんどんたまって大きくなっていきます。皮膚の表面に開口部があること場合には細菌が入り込んで化膿することもあり圧迫すると白いドロドロした膿のような液体がでてきて匂いがします。
通常痛みやかゆみはありませんが、化膿がひどく膿がたまっている場合には痛みが伴います。身体のどこにでもできますが、顔や頭、首や耳の後ろ、背中、お尻などにできやすい良性の腫瘍です。
良性腫瘍なので切除すべきか悩まれるとは思いますが、炎症を起こしたりサイズが大きくなる前に取り除くことをおすすめします。手術の傷跡は最新の技術により目立たない程度に仕上がります。

脂漏性角化症(しろうせいかっかしょう)は老人性イボとも呼ばれています。皮膚にダメージを与える紫外線や加齢によって起こる皮膚の良性腫瘍です。
身体のどこにでも発生しますが、特に日光の当たる顔や頭、首、手の甲に多くできます。
色は、皮膚と同じ色から淡褐色、黒色までさまざまです。形も平らなものから円形、高く盛り上がったものまで色々あり、小さく平らなものの横にブツブツと大きなものが出たりもします。
脂漏性角化症は少しずつ大きくなって数が増えていくのが特徴で、そのまま放っておいても自然に目立たなくなることはありません。
自覚症状として痛みませんが、かゆみを伴うこともあります。
脂漏性角化症だと思っていても、区別のつきにくい皮膚がんもあるので不安を感じたときは専門医に行かれることをおすすめします。

陥入爪(かんにゅうそう)は爪が皮膚にくい込んで炎症を起こすのが特徴です。
足の親指に生じることが多く、巻き爪があると陥入爪になりやすいです。爪を深く切ることによって、爪が圧迫され爪の横の皮膚にくい込んでいくので傷つけてしまい痛みます。あまりの痛みで歩くのがつらくなったり、何もしなくてもズキズキと痛み、日常生活に支障をきたすこともあります。
くい込んだ爪のまわりがダメージを受け、その部分に細菌が侵入し炎症を起こして腫れていくことも珍しくありません。
傷をそのまま放置しておくと、赤い肉芽組織となり、出血しやすく悪臭を伴うこともあります。さらに皮膚にくい込んで激痛となり症状が悪化していき悪循環となり治りにくくなってしまいます。早めに専門の医師の診断と治療を受けることをおすすめします。

熱傷は一般的にはやけどと呼ばれ熱による皮膚や粘膜の損傷をいいます。日常的に軽いやけどをすることは珍しいことではありませんが、症状が重くなるほど治療が長引いて跡が残ってしまいます。
熱傷の深さと面積で症状が異なります。
Ⅰ度熱傷(表皮熱傷)は表皮のみのやけどです。皮膚が赤くなってヒリヒリ痛みや軽く腫れることがありますが、水泡(水ぶくれ)はできず数日で治ります。
Ⅱ度熱傷(真皮熱傷)は真皮まで達するやけどで水泡(水ぶくれ)ができるのが特徴です。真皮の浅い部分までの損傷で、強い痛みや腫れが伴います。
Ⅲ度熱傷(皮下熱傷)はすべての皮膚が損傷されたやけどです。神経まで焼けて感覚がなくなり痛みを感じません。